
Over 160 Happy Patients
Over 500 Happy Patients

Promoting healthier gums by aligning teeth for easier brushing and flossing
Reducing the risk of plaque buildup, cavities, and gum disease
Supporting proper bite function to minimize jaw strain, headaches, and uneven tooth wear
Helping prevent long-term dental complications caused by crowding or misalignment
Improving overall oral health and daily comfort
Enjoying a naturally straighter, more confident smile as a rewarding bonus of better dental care
Our patients appreciate how clear aligners allow them to improve their smiles comfortably and discreetly - often without others even noticing they’re in treatment.
Mission: To provide our patients with the highest quality dental care in a comfortable and relaxed setting. We use the latest technology and techniques to ensure our patients receive the best care possible. We are committed to honesty and integrity, and we always put our patients’ needs first. We focus on preventive and comprehensive care to promote overall health.
Our Naples practice combines advanced digital orthodontic technology with a personalized, boutique-style experience. Every clear aligner treatment is carefully planned to ensure comfort, precision, and predictable results - so you can straighten your smile with confidence.
Advanced digital scanning and aligner planning
Personalized treatment tailored to your smile goals
Clear, removable aligners for everyday comfort
Focus on natural-looking, balanced results
A relaxed, patient-centered environment
Clear dental aligner treatment at Naples Dental Boutique is designed to deliver results you’ll notice every time you smile. As your teeth gradually move into proper alignment, many patients experience a boost in confidence that extends well beyond their treatment timeline. With a personalized plan and proper retainer wear, your new smile can remain balanced, comfortable, and photo-ready for years to come.

Gradually straighten teeth with discreet, nearly invisible aligners
Improve your smile while maintaining your daily routine
Removable aligners for comfort, convenience, and flexibility
Personalized treatment designed for predictable results
New patients only - $1,000 clear aligner special

Ideal for professionals, retirees, and families in Naples
A comfortable, step-by-step treatment with visible progress
Designed to complement other cosmetic services at our boutique practice
Limited-time $1,000 clear aligner offer for new patients
Complimentary whitening at the end of treatment
Your visit begins with a comprehensive digital evaluation of your teeth and bite. We discuss your goals, assess alignment concerns, and determine whether clear aligners are the right solution for you. Using advanced imaging, we map out a customized treatment plan designed for comfort, precision, and natural-looking results.
Based on your digital scan, a series of custom clear aligners is created specifically for your smile. Each aligner gently guides your teeth into proper position over time. The aligners are smooth, removable, and designed to fit seamlessly into your daily routine.
As you move through your aligner series, we monitor your progress and make adjustments as needed to ensure predictable results. Once treatment is complete, we provide retainers and guidance to help maintain your newly aligned smile long term.

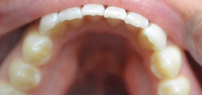
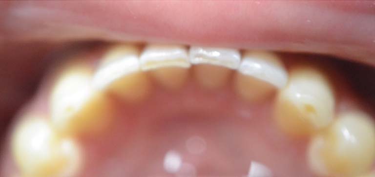
Before

After

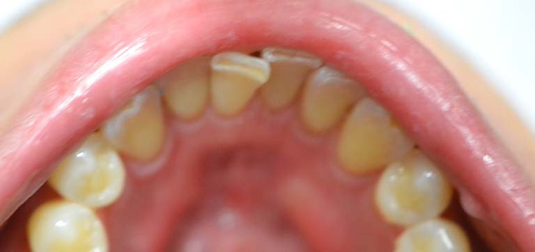
Before

After

From the moment you arrive, you will notice the difference. Our Naples practice features modern technology, comfortable treatment chairs, and a warm, welcoming atmosphere. We want every whitening visit to feel more like a relaxing appointment than a rushed errand, so you can enjoy the process as much as the results.
Unsure whether professional whitening is the best option for you? Schedule a complimentary consultation to discuss your goals and learn about what is possible for your smile.

Dr. Klose brings her unique blend of world-class education, big-city experience, and genuine compassion to her practice, Naples Dental Boutique. She is dedicated to creating a serene and personalized dental experience for every patient, built on a foundation of trust and professional excellence. Her dedication to giving back to the community, particularly to veterans and service members, is deeply personal; her husband is a proud U.S. Army Combat Veteran and former FBI Special Agent.
Clear aligners straighten teeth discreetly and comfortably without metal brackets or wires. They are removable, nearly invisible, and designed to fit seamlessly into your lifestyle.
Clear aligners are ideal for patients with mild to moderate crowding, spacing, or minor bite issues. A consultation helps determine if aligners are the right option for your smile goals.
Treatment length varies based on alignment needs, but many patients complete their clear aligner treatment in several months rather than years.
Yes. Aligners are removable, allowing you to eat, drink, brush, and floss normally - without dietary restrictions associated with traditional braces.
The limited-time $1,000 clear aligner offer is available to new patients and applies to qualifying cases. Eligibility is confirmed during your consultation.
Absolutely. Clear aligner treatment is digitally planned to create balanced, natural-looking results that complement your facial features and smile.
Most patients require periodic check-ins to monitor progress, but clear aligner treatment typically involves fewer in-office visits than traditional braces.
Straightening your teeth goes far beyond cosmetic improvement — proper tooth alignment contributes meaningfully to long-term oral and systemic health:
• Improved gum health – Straighter teeth are easier to brush and floss effectively, reducing plaque buildup and lowering the risk of gum inflammation and periodontal disease.
• Lower risk of cavities and decay – When teeth are aligned, there are fewer hard-to-reach areas where food particles and bacteria can accumulate, decreasing the likelihood of decay and infection.
• Better bite and jaw function – Properly aligned teeth help distribute chewing forces evenly, reducing jaw strain, headaches, and potential TMJ issues.
• Easier oral hygiene – Aligning teeth makes routine brushing and flossing more effective, which in turn protects enamel and promotes overall oral hygiene.
• Enhanced overall health – Poor oral health has been linked with systemic conditions such as heart disease and stroke; straight teeth that are easier to clean can contribute to better overall wellness.
Yes. Invisalign® is a clear aligner orthodontic system that gradually shifts teeth into healthier positions. Beyond aesthetic alignment:
• Invisalign® makes cleaning easier — removable aligners allow for normal brushing and flossing without the barriers of wires and brackets.
• Reduces periodontal risk — straightened teeth are less likely to trap plaque and harbor bacteria that can lead to gum disease.
• Helps prevent tooth wear and bite problems — properly aligned teeth distribute chewing forces better, which can reduce premature enamel wear and jaw stress.
Invisalign treatment is planned carefully so that only the natural teeth are moved while leaving the implant in its fixed position. Your dental provider will map out a customized plan that:
• Aligns surrounding teeth into healthier positions
• Maintains the stability of the implant
• Improves spacing and bite balance around the implant site
This approach allows Invisalign to enhance your smile even with existing dental restorations.
Describe the item or answer the question so that site visitors who are interested get more information. You can emphasize this text with bullets, italics or bold, and add links.
Disclaimer: The $1000 Off Invisalign® Special offer applies to comprehensive cases and cannot be combined with other promotions or existing treatment.
Monday: 8 AM - 5 PM
Tuesday: 8 AM - 5 PM
Wednesday: 8 AM - 5 PM
Friday: 8 AM - 5 PM
